Before & Afters
At Crumbaugh Family Dentistry, our before-and-after transformations highlight the real results patients achieve through personalized, high-quality dental care. From subtle cosmetic enhancements to complete smile makeovers, each case reflects our commitment to precision, comfort, and natural-looking results. Explore how modern dentistry can restore confidence and bring out your best smile.

Making your neighborhood smile!
Before & After


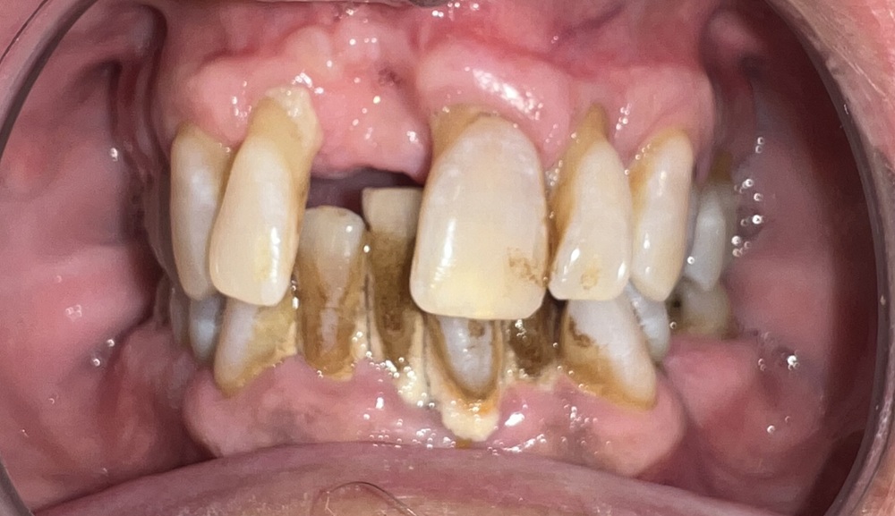
Extractions and bridge 6-11


Extractions and bridge 6-11


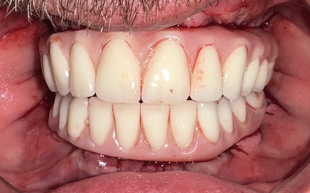
All-on-X case


Anterior Crowns 7-10


Anterior Crowns 6
